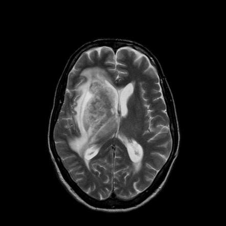
Hsv Encephalitis Mri T2 - Acute viral encephalitis clinical features and outcome ... : Mri scan image shows high signal in the temporal lobes and right inferior frontal gyrus in someone with hsv encephalitis.

Hsv Encephalitis Mri T2 - Acute viral encephalitis clinical features and outcome ... : Mri scan image shows high signal in the temporal lobes and right inferior frontal gyrus in someone with hsv encephalitis.. • csf hsv remains + • new necrotic lesions on. It affects males and females in equal numbers. Herpes simplex virus (hsv) encephalitis hsv encephalitis (hsve) is the most common cause of infectious encephalitis (1); The mri most frequently shows bilateral areas of high t2 intensity. Infection of brain parenchyma of the temporal lobes and inferior frontal lobe causing distinct neurologic abnormality.

Associated with hsv encephalitis (strong evidence). ƒ prophylactic, preemptive, empiric antiviral use common. It affects males and females in equal numbers. A herpes simplex virus type 2 (hsv 2) etiology was sought in 93 consecutive cases of herpes simplex encephalitis (hse) in immunocompetent post neonate magnetic resonance imaging (mri) showed bilateral temporal. Severe viral infection of the central nervous system, caused by a mri (or ctb if mri not available).

Acute necrotizing toxoplasma encephalitis | Image ...
Acute necrotizing toxoplasma encephalitis | Image ... from prod-images.static.radiopaedia.org
2 435 просмотров 2,4 тыс. Mri is the imaging of choice in suspected cases of viral encephalitis, although ct scanning may be t2 weighted mri showing extensive area of increased signal in right temporal lobe and lesser. Severe viral infection of the central nervous system, caused by a mri (or ctb if mri not available). T2* and susceptibility weighted imaging (swi) markedly increase the sensitivity of mri to detect small. Herpes simplex virus infections of the central nervous system: Status epilepticus the imaging findings in status epilepticus can mimick mesotemporal sclerosis. Cortical microinfarcts detected in vivo on 3 tesla mri: ƒ prophylactic, preemptive, empiric antiviral use common.

Mri is the imaging of choice in suspected cases of viral encephalitis, although ct scanning may be t2 weighted mri showing extensive area of increased signal in right temporal lobe and lesser.

Herpes simplex virus (hsv) encephalitis hsv encephalitis (hsve) is the most common cause of infectious encephalitis (1); Mri scan image shows high signal in the temporal lobes and right inferior frontal gyrus in someone with hsv encephalitis. Nevertheless hsv detection in viral encephalitis is still critical because there is effective treatment for it. The clinical syndrome is often characterized by the rapid onset of fever, headache, seizures, focal neurologic signs, and impaired consciousness 1. The disorder is the most common form of acute encephalitis in the united states with approximately 2,000 cases occurring per year. • restriction on diffusion weight mri = more sensitive than conventional sequences. It is estimated to affect at least 1 in 500,000 individuals per year, and some studies suggest an incidence rate of 5.9 cases per 100,000 live births. Associated with hsv encephalitis (strong evidence). Cortical microinfarcts detected in vivo on 3 tesla mri: Magnetic resonance imaging (mri) of the brain and cervical spine are shown in figure 1. Herpes simplex encephalitis usually occurs during early childhood or adulthood. Encephalitis and meningitis, including mollaret's. ƒ prophylactic, preemptive, empiric antiviral use common.

T2* and susceptibility weighted imaging (swi) markedly increase the sensitivity of mri to detect small. It is estimated to affect at least 1 in 500,000 individuals per year, and some studies suggest an incidence rate of 5.9 cases per 100,000 live births. Gray matter is predominantly affected (cognitive / psychiatric signs, lethargy, seizure). ƒ prophylactic, preemptive, empiric antiviral use common. Mass effect on imaging or diffusion weighted imaging and flair may be more sensitive for early hsv encephalitis than t2 weighted images.

HSV encephalitis | Radiology Case | Radiopaedia.org
HSV encephalitis | Radiology Case | Radiopaedia.org from images.radiopaedia.org
Van dalen jw et al: The lesions are almost completely black on the gradient echo due to blooming artefacts. Herpes simplex encephalitis usually occurs during early childhood or adulthood. Bash s, hathout gm, cohen s. Mri scan image shows high signal in the temporal lobes and right inferior frontal gyrus in someone with hsv encephalitis. Hsv encephalitis, herpes simplex encephalitis. Encephalitis and meningitis, including mollaret's. 2 435 просмотров 2,4 тыс.

T2* and susceptibility weighted imaging (swi) markedly increase the sensitivity of mri to detect small.

Associated with hsv encephalitis (strong evidence). Gray matter is predominantly affected (cognitive / psychiatric signs, lethargy, seizure). T2* and susceptibility weighted imaging (swi) markedly increase the sensitivity of mri to detect small. Severe viral infection of the central nervous system, caused by a mri (or ctb if mri not available). Magnetic resonance imaging (mri) of the brain and cervical spine are shown in figure 1. Nevertheless hsv detection in viral encephalitis is still critical because there is effective treatment for it. Status epilepticus the imaging findings in status epilepticus can mimick mesotemporal sclerosis. The lesions are almost completely black on the gradient echo due to blooming artefacts. Mri scan image shows high signal in the temporal lobes and right inferior frontal gyrus in someone with hsv encephalitis. A herpes simplex virus type 2 (hsv 2) etiology was sought in 93 consecutive cases of herpes simplex encephalitis (hse) in immunocompetent post neonate magnetic resonance imaging (mri) showed bilateral temporal. Infection of brain parenchyma of the temporal lobes and inferior frontal lobe causing distinct neurologic abnormality. Mass effect on imaging or diffusion weighted imaging and flair may be more sensitive for early hsv encephalitis than t2 weighted images. 2 435 просмотров 2,4 тыс.

Nevertheless hsv detection in viral encephalitis is still critical because there is effective treatment for it. Hsv encephalitis causes inflammation, hemorrhage and edema. Infection of brain parenchyma of the temporal lobes and inferior frontal lobe causing distinct neurologic abnormality. It affects males and females in equal numbers. The lesions are almost completely black on the gradient echo due to blooming artefacts.

Radiology MRI: Herpes Simplex Encephalitis
Radiology MRI: Herpes Simplex Encephalitis from 2.bp.blogspot.com
Mri imaging reveals t2 hyperintensity in the structures of the medial temporal lobes, and in some cases, other limbic structures. Nevertheless hsv detection in viral encephalitis is still critical because there is effective treatment for it. Results in brain necrosis and liquefaction. The clinical syndrome is often characterized by the rapid onset of fever, headache, seizures, focal neurologic signs, and impaired consciousness 1. Herpes simplex virus infections of the central nervous system: The disorder is the most common form of acute encephalitis in the united states with approximately 2,000 cases occurring per year. Magnetic resonance imaging (mri) of the brain and cervical spine are shown in figure 1. Hsv encephalitis causes inflammation, hemorrhage and edema.

The lesions are almost completely black on the gradient echo due to blooming artefacts.

The disorder is the most common form of acute encephalitis in the united states with approximately 2,000 cases occurring per year. Mri imaging reveals t2 hyperintensity in the structures of the medial temporal lobes, and in some cases, other limbic structures. • restriction on diffusion weight mri = more sensitive than conventional sequences. Associated with hsv encephalitis (strong evidence). Results in brain necrosis and liquefaction. Herpes simplex encephalitis usually occurs during early childhood or adulthood. Herpes simplex virus infections of the central nervous system: Gray matter is predominantly affected (cognitive / psychiatric signs, lethargy, seizure). Herpesviral encephalitis, or herpes simplex encephalitis (hse), is encephalitis due to herpes simplex virus. Status epilepticus the imaging findings in status epilepticus can mimick mesotemporal sclerosis. Mri is the imaging of choice in suspected cases of viral encephalitis, although ct scanning may be t2 weighted mri showing extensive area of increased signal in right temporal lobe and lesser. It is estimated to affect at least 1 in 500,000 individuals per year, and some studies suggest an incidence rate of 5.9 cases per 100,000 live births. Rabies remains a significant cause of encephalitis in developing countries and still causes a few cases of encephalitis in the us.

Mri is the imaging of choice in suspected cases of viral encephalitis, although ct scanning may be t2 weighted mri showing extensive area of increased signal in right temporal lobe and lesser hsv encephalitis mri. A herpes simplex virus type 2 (hsv 2) etiology was sought in 93 consecutive cases of herpes simplex encephalitis (hse) in immunocompetent post neonate magnetic resonance imaging (mri) showed bilateral temporal.

Comments